
Achieving Consistent and Delightful Whitening Results in the world of cosmetic dentistry, patient satisfaction is crucial. It's important to differentiate between regular teeth whitening treatments and a…

Behind the funny and lovely Matt Parsons, there is a dentist who takes chances, and that’s not as common as you could think. When it comes to…

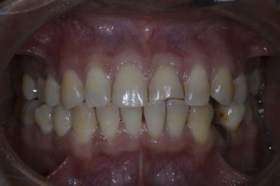
Maximum conservation of the affected tissues, which have the potential to heal and bounce back to normal health and function, is the core principle of the modern…

Ajay is currently in his FD year practising in Telford after qualifying. He attended the Mini Smile Makeover course hands on course in Manchester back in April. Q. Why…